三、教学内容及课堂设计 1.前测:病史采集主要内容;胸部体格检查流程;胸腔穿刺术流程(10分钟)。 前测后予以点评和小结,回顾既往学习内容,为后续情景演绎做好铺垫。 进入情景一 2.病史采集,教师担任标准化病人(脓胸患者)。(10分钟) 3.胸部体格检查,使用一名男生担任模特(10分钟)。 体格检查后,使用电脑出示体格检查内容。提出下一步该如何处理? 4.提供血常规检查结果(血常规白细胞高,中性粒细胞比例高),下一步如何处理?(10分钟) 5.讨论后要求学生完成胸腔穿刺术。(10分钟) 6.提供胸腔积液检查结果,讨论患者诊断。(10分钟) 7.点评和反馈(30分钟) 进入情景二 8.病史采集,教师担任标准化病人(结核性胸膜炎患者)。(10分钟) 9.胸部体格检查,使用一名男生担任模特(10分钟)。 体格检查后,使用电脑出示体格检查内容。提出下一步该如何处理? 10.提供血常规检查结果(血常规白细胞不高,血沉快),下一步如何处理?(10分钟) 11.讨论后要求学生完成胸腔穿刺术。(10分钟) 12.提供胸腔积液检查结果,讨论患者诊断。(10分钟) 13.点评和反馈(30分钟) 14.后测和教师总结(10分钟)。 【教学流程】 导入:学生作为患者来医院就诊,期待是什么样的接诊流程? 一、前测: 病史询问的主要内容 现病史的主要内容 胸部体格检查的主要内容 胸腔穿刺术的标准操作流程 完成前测后,交代本次课程的教学目标 二、模拟情景一 选择一个团队2-4人,教师任SP,要求学生完成病史采集。 主诉:左侧胸痛1周,气促3天 引导学生完成病史采集。 引导学生归纳病史特点
选择一位同学作为模特,要求团队成员完成肺和胸膜体格检查。 讨论:患者为左侧大量胸腔积液患者,可能的胸部体征?
患者体征如下:视诊:左侧胸廓饱满,呼吸运动减弱 触诊:气管右偏,左侧语颤减弱,左侧胸廓扩张度减低 叩诊:左侧叩诊浊音 听诊:呼吸音消失,语音共振减弱 患者下一步该如何处理?
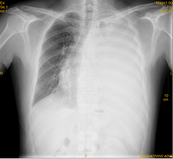
患者完善血常规、凝血功能、胸片检查,结果如下: 血常规:白细胞 24.5×109/L,N 95%,红细胞 3.65×1012/L,血红蛋白122g/L。 凝血功能:凝血酶时间(TT):16.6s 凝血酶原时间(PT):10.9s 活化部分凝血酶时间(APTT):26.3s 胸片:  患者下一步该如何处理?
请团队中2位成员完成胸腔穿刺术?
胸腔积液检查结果如下,该患者的诊断? 胸水检查提示胸水浑浊,自凝,李凡他试验阳性,WBC:1310×106/L,中性粒细胞(N):95%;胸水葡萄糖 0.2mmol/L,ADA 10U/L,胸水总蛋白35g/L,LDH 3850U/L。
点评和反馈 1.团队成员自评 2.其他同学评价 3.教师点评:重点关注接诊流程,病史采集的技巧,体格检查注意事项、胸腔穿刺术注意事项,临床思维形成过程
二、模拟情景二 选择另一个团队2-4人,教师任SP,要求学生完成病史采集。 主诉:左侧胸痛1周,发热5天 引导学生完成病史采集。 引导学生归纳病史特点
选择一位同学作为模特,要求团队成员完成肺和胸膜体格检查。 讨论:前面就诊患者为左侧中量胸腔积液患者,可能的胸部体征? 患者体征如下:视诊:左侧胸廓饱满,呼吸运动减弱 触诊:气管右偏,左侧语颤减弱,左侧胸廓扩张度减低 叩诊:左下肺叩诊浊音 听诊:左下肺呼吸音减弱,语音共振减弱 患者下一步该如何处理?
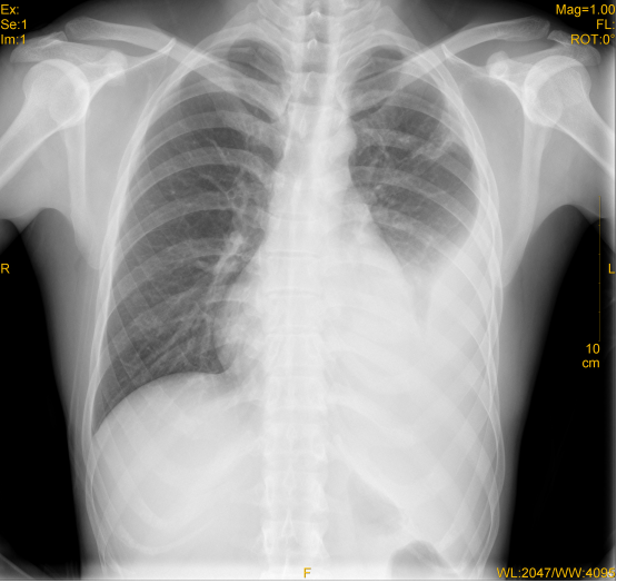
患者完善血常规、凝血功能、胸片检查,结果如下: 血常规:白细胞 7.5×109/L,N 55%,L 34%,红细胞 3.65×1012/L,血红蛋白122g/L。 血沉:100mm/h 凝血功能:凝血酶时间(TT):16.6s 凝血酶原时间(PT):10.9s 活化部分凝血酶时间(APTT):26.3s 胸片: 
患者下一步该如何处理? 请团队中2位成员完成胸腔穿刺术? 胸腔积液检查结果如下,该患者的诊断? 胸水检查提示胸水浑浊,自凝,李凡他试验阳性,WBC: 310×106/L,中性粒细胞(N):15%;胸水葡萄糖6.2mmol/L,ADA 50U/L,胸水总蛋白35g/L,LDH 350U/L。 点评和反馈 1.团队成员自评 2.其他同学评价 3.教师点评:重点关注临床思维形成过程 四、后测 病人接诊流程 五、小结 疾病诊断的四个步骤:收集临床资料、分析综合评价资料、提出初步诊断、验证和修正诊断。 思政要点:以病人为中心,让学生明确患者接诊过程,充分利用病史采集、体格检查等基本技能,选择合适的检查项目,分析相关检查结果,做出正确判断,避免医师开大处方。 |