三、教学内容及课堂设计 (一)讲授内容: 1.课时总体分配 第一节 胸部的体表标志 10分钟 第二节 胸壁、胸廓与乳房 10分钟 第三节 肺和胸膜检查 140分钟 第四节 呼吸系统常见疾病的主要症状和体征 40分钟 【教学设计和要点】 1.导课:给一个COPD患者看“八字”(患者存在肺气肿,现在走路比同龄人慢,曾经因为气胸住过院)(1min) 2.前测:复习胸部解剖结构,提出胸部体格检查的意义;用临床病例说明胸部体格检查的条件要求。(2min) 3.用既往师兄师姐体格检查中在SP和患者胸部不停的触摸,提出体表标志的意义;(7min) 骨骼标志:在图片的基础上添加动画,标识出部位,并讨论临床意义 垂直线:在图片的基础上,添加垂直线,讲解意义 自然陷窝和解剖区域:在图片的基础上添加动画,标识出部位,并讨论临床意义 肺和胸膜界限:结合解剖特点,分析解剖与临床的关系;各类疾病体格检查中可能出现的异常体征,为后续检查做好铺垫。 4.胸壁胸廓和乳房 (1)胸壁(2min) 静脉:如何检查及意义(使用肺癌患者上腔静脉阻塞综合征,并为后续体格检查做好铺垫) 皮下气肿:如何检查,临床上一个气胸患者突发气促加重,体格检查如何发现,也为后面气胸体格检查做好铺垫。 胸部压痛:压痛检查方法,压痛部位与疾病,并与前面体表标志相结合,复习前面的内容。 肋间隙:结合前面体表标志,结合导课的COPD患者。 (2)胸廓(2min) 正常胸廓和异常胸廓:用图片展示,并说明异常胸廓对身体的影响 异常胸廓的意义:结合临床案例讲解 (3)乳房(6min) 正常乳房和体检方法:用案例讲解乳房检查的注意事项 视诊:对称性;皮肤改变;乳头;腋窝和锁骨上窝 触诊:触诊顺序;触诊方法;触诊异常;包块的触诊(复习淋巴结触诊内容,并强调乳房淋巴结触诊的意义) 常见乳腺疾病的体格检查:用初产妇急性乳腺炎案例;晚期乳腺癌患者图片;肝硬化患者乳腺增生(为后续肝硬化患者就诊做好铺垫,同时复习胸壁胸廓检查) 4.肺和胸膜 结合南北差异,季节差异讲解肺和胸膜体格检查的条件要求。(2min) (1)视诊 呼吸运动:使用演示技巧,说明呼吸运动影响因素、构成和意义;同时为呼吸频率的检查做好铺垫(6min) 呼吸频率:检查方法(结合呼吸运动的模拟,让学生理解检查方法和注意事项);异常的临床意义(6min) 呼吸节律:模拟呼吸节律变化,结合临床案例讲解其临床意义(6min) (2)触诊 胸廓扩张度:与同学一起呼吸,分析检查方法注意事项,分析异常的意义(6min) 语音震颤:123和1234方法;通过临床病例解释临床意义(6min) 胸膜摩擦感:用衣服摩擦的动作说明胸膜摩擦感产生机制和检查方法。(6min) 小结视诊和触诊内容(2min) (3)叩诊 叩诊方法:复习基本检查方法(4min) 叩诊音影响因素:带领同学们叩诊桌面,要求同学们叩出桌面下的固定钢条边缘(3min) 肺部叩诊音分类和肺部正常叩诊音:结合同学们的叩诊体验,使用表格比较不同肺部叩诊音的分布及原因。(3min) 肺界的叩诊:肺上界、前界、下界(6min) 肺下界移动度:结合同学们呼吸,解释肺下界移动度的影响因素;结合叩诊方法,说明肺下界移动度检查方法。(6min) 侧卧位叩诊:结合部分患者不能坐位,引出侧卧位叩诊的必要性,再解读侧卧位叩诊的异常情况。(6min) 胸部异常叩诊音:结合临床病例讲解(12min) (4)听诊 听诊方法:复习体格检查基本方法,强调听诊的注意事项,强调实事求是。(2min) 正常呼吸音:图片中增加链接,播放对应呼吸音。(8min) 异常呼吸音:图片中增加链接,播放对应呼吸音。解释对应的机制和临床意义。(10min) 湿啰音:模拟湿啰音,解释原因,复习咳嗽咳痰时相关内容。(6min) 对湿啰音分类,讲解其分类方法及临床意义。(10min) 干啰音:与湿啰音比较其音色的不同,与学生讨论干啰音产生机制。(6min) 分析干啰音的分类,讲解其临床意义(6min) 语音共振:复习语音震颤,告知学生两者不同及相关性;复习语音震颤的检查方法,支出语音共振的检查方法。(3min) 胸膜摩擦音:复习胸膜摩擦感的检查方法和临床意义,讨论胸膜摩擦音的检查方法和临床意义。(3min) (5)肺部体格检查的顺序和方法(2min) 使用表格的方式讲解,结合图片和链接并听诊内容进行小结。(4min) 5.常见肺部疾病的体征 利用常见肺部疾病的体征,联系病理改变,回顾前面所学习相关内容,加强病理与临床的联系。 强调所有疾病的体征均按照视触叩听的顺序汇报。(1min) (1)大叶性肺炎:准备一张大叶性肺炎CT片,右肺是实变期,左肺为消散期,讨论病理改变,分析其为什么不同时期出现不同体征。(8min) 
(2)慢性阻塞性肺疾病:回到导课时那个COPD患者,分析为什么能够判断出他是COPD患者,分析其体征,并复习前面体格检查中为什么会出现对应的视触叩听异常结果。(6min) 
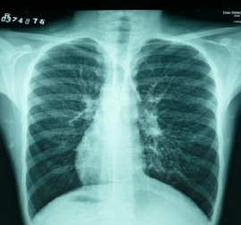
(3)支气管哮喘:首先讲解哮喘和COPD的不同;准备一张哮喘患者急性发作期的X线片,讲解哮喘的体征。结合一个支气管结核误诊为哮喘的病例,说明哮喘的体格检查体征改变,并复习不同的干啰音的差别。(4min) 
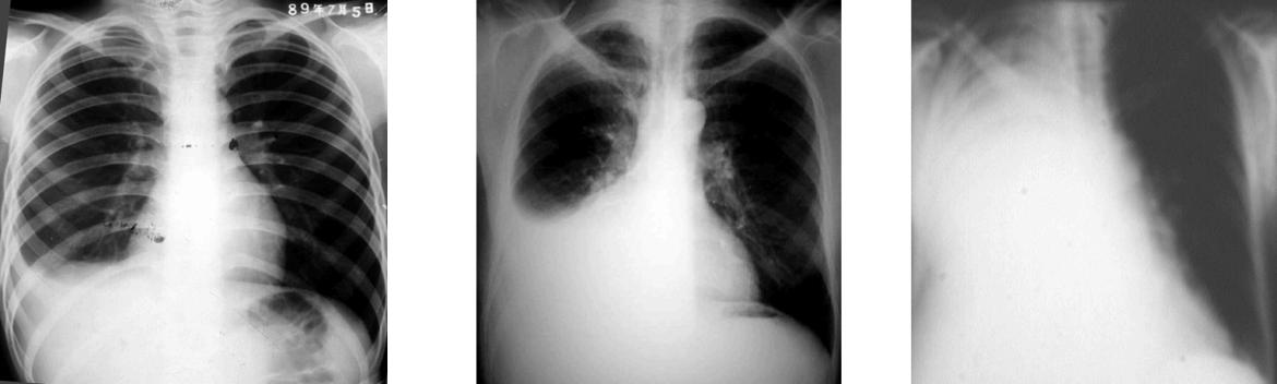
(4)胸腔积液:准备一个胸腔积液患者,三张CT片(一张少量、一张中量、一张大量),解释胸腔积液的发展过程及体格检查结果改变过程。并为胸腔穿刺术做一点铺垫。(8min) 
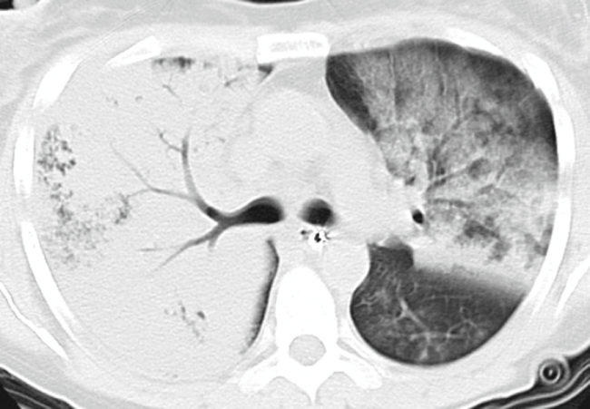
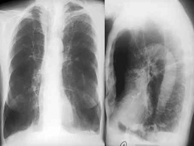
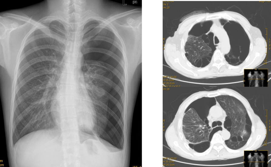
(5)气胸:继续使用导课的病例,说明气胸后出现病情变化,结合X线改变,讨论其体征产生机制,再次把以病人为中心的理念告知学生,把思政融入课堂。准备一张单纯气胸X线改变,一张COPD合并气胸CT改变(导课病人),与学生讨论其不同的体征及产生原因。(8min) 
小结:使用五种常见疾病的体征改变,进行总结。(2min) 总结:胸部的体表标志;胸部和肺体格检查的步骤和主要内容;呼吸系统常见疾病的主要体征。(3min)
课程思政:使用病人就诊的案例,融入如何站在病人的角度去思考,如何让病人用最少的花费获得合适的诊治。体格检查中如何体现出爱伤意识,如何体现出人文关怀,如何体现出医者情怀。
|